Bone Deformity Correction Surgery in Alwarpet, Chennai
Arthroscopy is a medical procedure that helps with the diagnosis and treatment of joint problems. In this procedure, a camera will be inserted into the area around your joint through a small incision. It can help with several deformities that involve your joint. To learn more, speak to an arthroscopy doctor in Alwarpet.

What are joint deformities?
As the name suggests, joint deformities are deformities that involve your joints. The most common sites of deformity are your hands and legs as they have several joints that are constantly in use. There are several causes of joint deformities, the most common being osteoarthritis and rheumatoid arthritis.
What are the types of joint deformities?
There are several deformities. Some common joint deformities are:
- Ulnar drift: In this condition, your fingers drift away from your thumb and move towards your last finger.
- Boutonniere deformity: Otherwise known as button deformity, this condition is characterized by your middle finger joint bending towards your palm and your forefinger joint bending away from it.
- Swan-neck deformity: In this deformity, the base joint and the top joint of your finger bend downwards while your middle joint remains intact.
- Claw toe: Here, the condition occurs when your toe bends backwards from the ball of your foot, when your toe bends downwards towards your shoe’s sole or when it bends downwards towards the joint at the top.
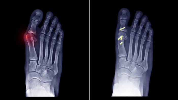
- Bunion: In this deformity, the base of your first toe swells up and protrudes. It can push against your second toe and overlap the third.
When do you need to consult a doctor?
If you have joint pain, discomfort or are suspicious of a deformity, seek immediate medical attention. Diagnosing the condition early can help achieve good results after treatment. You can visit an arthroscopy specialist in Alwarpet to have your condition diagnosed and treated.
Request an appointment at Apollo Spectra Hospitals, Alwarpet, Chennai.
Call 1860 500 2244 to book an appointment.
How are joint deformities caused?
The two main causes of joint deformities are rheumatoid arthritis and osteoarthritis. Rheumatoid arthritis causes your immune system to attack your joints, leading to joint deformities. Immune cells gather inside your joint and form a layer of tissue there. The tissue releases chemicals that lead to inflammation and pain, eventually causing deformities. Osteoarthritis is another arthritic condition that leads to joint deformities such as Heberden’s node and Baushard’s node.
How can joint deformities be corrected?
It all depends on the extent of the deformity and an individual’s medical history. Here are some ways to correct joint deformities:
- Medication: The first line of defence against joint deformities are medications. Commonly, the following drugs are administered to people with joint deformities:
- Non-steroidal anti-inflammatory drugs (NSAIDs): These drugs help relieve pain and inflammation.
- Corticosteroid: These drugs also relieve pain and inflammation.
- Disease-modifying antirheumatic drugs (DMARDs): These drugs prevent arthritis from taking a toll on your joint and causing deformities there.
- Surgery: Unless the deformity significantly affects the quality of your life, surgery will not be recommended. If your deformity causes pain and discomfort, there are surgical procedures that can help alleviate the condition. Some procedures include synovectomy (removal of the synovium), joint replacement, joint fusion and bunion surgery. It is important to note that while surgery can fix the deformity, it cannot cure the underlying cause, especially if it is rheumatoid arthritis or osteoarthritis.
Conclusion
Deformities of your joints can lead to endless pain, discomfort and an inability to perform your daily activities. Speak to a doctor and seek a treatment plan that can correct your deformity at an arthroscopy hospital in Chennai
While your diet is not solely responsible for the development of arthritis and joint deformities, it does have a certain influence on your body. If you are suspicious of or are diagnosed with joint problems, avoid red meat, sugar, salt, alcohol and processed foods. Increase your fatty fish and coffee intake as they can help fight rheumatoid arthritis due to their anti-inflammatory properties.
Some nutrients that can help keep your bones and joints strong are curcumin, vitamin D, omega-3 fatty acids and chondroitin sulphate.
As arthritis worsens with time, it is nearly impossible for it to go away on its own. Due to recent improvements in medicine, it is possible to prevent advancement and major complications of arthritis if it is caught early and treated.
Symptoms
Our Top Specialities
NOTICE BOARD
CONTACT US
CONTACT US
Book Appointment








