Bone Deformity Correction Surgery in MRC Nagar, Chennai
Sometimes, due to a disease, a bone grows incorrectly and needs to be adjusted through an orthopedic surgical treatment called osteotomy.

What do we need to know about correction of deformity?
Correction of deformity is a surgical procedure to modify and adjust misaligned bones for proper functioning. The process is called corrective osteotomy, under which a bone is stabilized through internal or external fixation. In other words, it’s a surgery that cuts and reshapes deformed bones.
What are the symptoms?
The most common sign of deformity is bone pain since a new bone is growing. A deformed bone is weaker than a normal bone. For example, if the bone grows in the spine or skull, you might feel weakness in your arms or legs.
When do you need to see a doctor?
If you feel weakness, stiffness or swelling in joints or bones, visit an orthopedic specialist near you immediately.
Request an appointment at Apollo Spectra Hospitals, MRC Nagar, Chennai.
Call 1860 500 2244 to book an appointment.
What causes bone deformities?
The following are the reasons for bone deformity:
- Bone not located accurately after open surgery
- Genetic deformity
- Nutritional, environmental deficiency
- Viral infection in bone cells
What are the types of deformity correction?
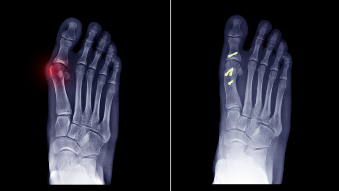
- Osteotomy
In the case of osteotomy, a surgeon removes the damaged part of the bone and stabilizes it with screws, plates or rods. - Spinopelvic fixation
It is a region where the spinal cord and the pelvic bone are attached. During this surgery, stabilizers such as rods and screws are used to attach the bones through a fusion procedure. - Pedicle subtraction osteotomy
This spinal surgery corrects deformities like forward or backward curve of the cord by realigning the vertebral arch.
How is correction of deformity surgery performed?
There are two types of surgeries through which bone deformity is corrected.
Acute Correction
- The surgeon starts with cutting across the bone.
- The surgeon will then align the bone in its actual place.
- He/she will secure the bone with internal fixators like nails, plates, etc. till it is healed.
Gradual Correction
- The orthopedic surgeon starts with separating a bone into two segments.
- He/she then starts the distraction process in which an external fixator is attached and is adjusted every day to pull apart and straighten the bone slowly.
- In the consolidation phase, the new bone starts to harden, and it takes double the time as the distraction phase.
- At last, the external fixator is removed through surgery.
What are the risks?
- Internal bleeding
- Nerve, blood vessel, tendon deficit
- Fluid leak, etc.
How do you recover after the surgery?
- The time needed for deformity to be fully healed depends upon how fast the bone is solidifying and aligning in its place.
- You can start light exercise after the doctor gives a green signal.
- Rehabilitation and physical therapy play an essential role in helping you to recover after the surgery.
- An experienced physical therapist in Chennai will support and motivate you to regain mobility and flexibility.
Conclusion
To successfully correct deformities, a patient needs a healthy, nutritious diet rich in protein, vitamins and calcium. Along with it, regular exercise under experienced therapist supervision and timely medication will also help.
No, the deformity does not heal on its own. However, sometimes in growing age, few bone deformities get reshaped, but get an expert opinion.
A surgeon can use the external fixator during the surgery to keep the bones in place. However, you don’t need to wear it during recovery.
Carelessness of a patient can affect the outcome. A doctor can also stop the therapy due to complications like nerve damage, muscle contraction, etc.
Symptoms
Our Top Specialities
NOTICE BOARD
CONTACT US
FOR PARTNERSHIP
CONTACT US
FOR PARTNERSHIP
Book Appointment








